妊娠中の口腔ケアができる
妊娠中は、ホルモンバランスの変化や生活習慣の影響により、
虫歯や歯周病のリスクが高まります。
特に、歯周病は早産や低体重児出産のリスク因子とも考えられており、お口の健康管理はお母さまと赤ちゃんの健康を守るためにも大切です。
妊娠中の食生活や口腔ケアについて助産師がアドバイスさせていただきます。


医院情報
歯周病/審美治療/ホワイトニングに対応


そんなお気持ちを抱えたことはありませんか?
私たちは長い間、
この町で誠実に診療を続けてきました。
一人ひとりのお話を丁寧にうかがい、
納得いただける治療を心がけています。
どうぞ気軽にお越しください。
治療の前に、まずはお話から始めましょう。


※ 写真中央のスライダを左右にドラッグして画像を比較できます

インプラントによる包括的な治療

| 年齢・性別 | 70代・女性 |
|---|---|
| 主訴 | しっかり噛めるようになりたい。 |
| 治療内容 | インプラント治療、審美修復 |
| 治療費 | インプラント1本45万円(税込)~ ※症例により異なります。詳細はスタッフまでお尋ねください。 |
| 治療期間 | 約2年 |

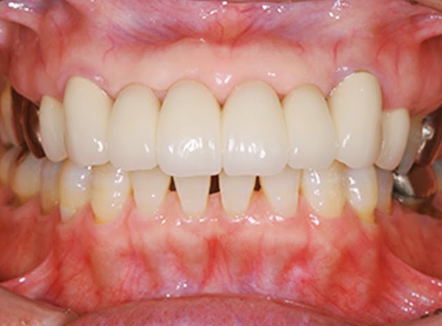
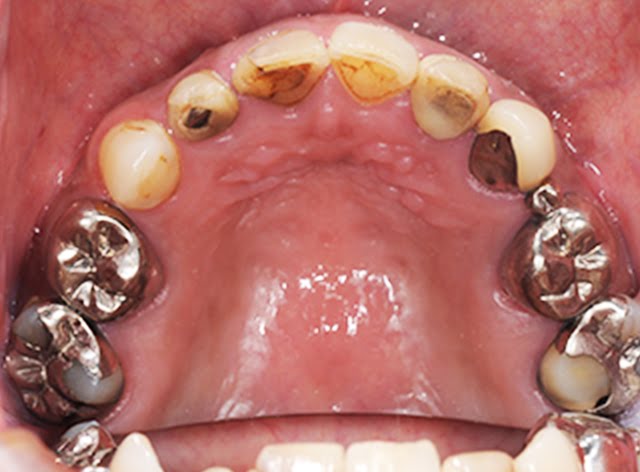
インプラントによる全顎治療

| 年齢・性別 | 60代・女性 |
|---|---|
| 主訴 | 入れ歯が合わない。とても噛みにくい。 |
| 治療内容 | インプラント治療、矯正治療、審美修復 |
| 治療費 | インプラント1本45万円(税込)~ ※症例により異なります。詳細はスタッフまでお尋ねください。 |
| 治療期間 | 約2年 |

前歯の審美補綴治療

| 年齢・性別 | 40代・女性 |
|---|---|
| 主訴 | 前歯の色が気になる。 |
| 治療内容 | 根管治療、ウォーキングブリーチ、結合組織移植、審美修復 |
| 治療費 | ウォーキングブリーチ1.1万円(税込)~ ※症例により異なります。詳細はスタッフまでお尋ねください。 |
| 治療期間 | 約6ヶ月 |

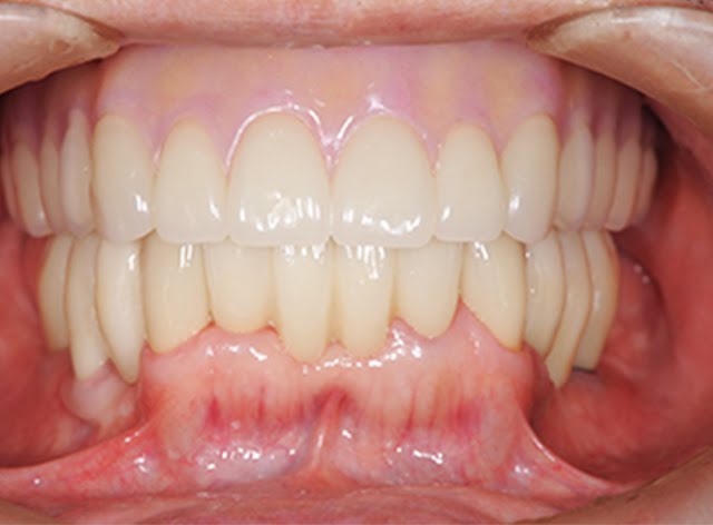
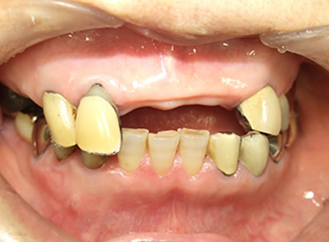
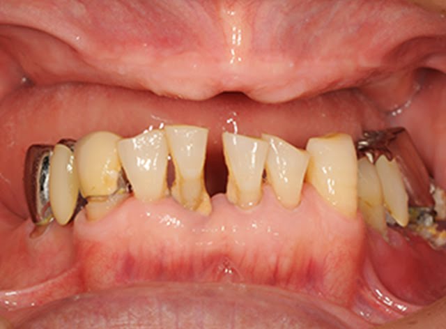
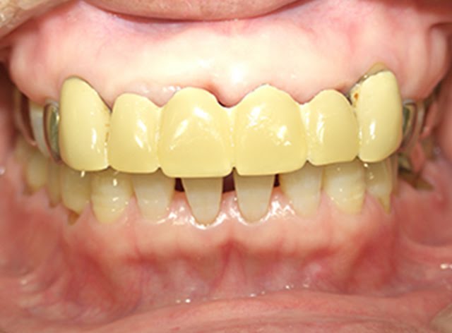
義歯とインプラントによる包括的な治療

| 年齢・性別 | 70代・男性 |
|---|---|
| 主訴 | 入れ歯が外れて困る。 |
| 治療内容 | インプラント治療、審美修復、義歯治療 |
| 治療費 | インプラント1本45万円(税込)~ ※症例により異なります。詳細はスタッフまでお尋ねください。 |
| 治療期間 | 約11ヵ月 |

包括的審美治療

| 年齢・性別 | 40代・女性 |
|---|---|
| 主訴 | どこで噛んでいいのかわからない。 |
| 治療内容 | スプリント治療、インプラント治療、矯正治療、根管治療、審美修復 |
| 治療費 | インプラント1本45万円(税込)~ ※症例により異なります。詳細はスタッフまでお尋ねください。 |
| 治療期間 | 約4年 |

審美治療

| 年齢・性別 | 50代・女性 |
|---|---|
| 主訴 | 前歯のかぶせものの色が気になる |
| 治療内容 | 根管治療、歯周外科、メタルボンドブリッジ |
| 治療費 | 歯周外科治療1本1.1万円(税込)~ ※症例により異なります。詳細はスタッフまでお尋ねください。 |
| 治療期間 | 約7か月 |

吉田 知生
Tomoki Yoshida



吉田 雅美
「歯医者に助産師?」と思うかもしれませんが、
お母さんのお口の健康が赤ちゃんの
虫歯リスクに影響します。
産前・産後のママや家族、そしてお子さんの
お口のケアをご提案します。
妊娠中は、ホルモンバランスの変化や生活習慣の影響により、
虫歯や歯周病のリスクが高まります。
特に、歯周病は早産や低体重児出産のリスク因子とも考えられており、お口の健康管理はお母さまと赤ちゃんの健康を守るためにも大切です。
妊娠中の食生活や口腔ケアについて助産師がアドバイスさせていただきます。

生後すぐからできるお口のケア方法をお伝えし、
むし歯ゼロを目指します。
健康は歯を育むためには、赤ちゃんの成長に合わせて今できることに取り組むことが大切です。
正しい授乳方法や離乳食の進め方など、具体的にお伝えします。

当然ですが、お子さんの成長スピードはひとり一人によって異なります。
助産師が中心となって、お子さんの成長発達に合わせたアドバイスをさせていただきます。
また、歯磨きの習慣を身に着け、定期的に歯科医院でお口の状態をチェックすることで、将来のお口の病気リスクを軽減します。

一口に「歯の治療」と言っても、
患者さんの年齢、性別、生活、
大げさに言えば
職業によっても異なると思うのです。
だから、虫歯を治すといっても、
違う患者さんで同じ治療をして
よいはずがありません。
インプラント治療も、そう。
30代の方と70代の方で当然、異なります。
これからバリバリ働いて、食べて、話して、と
いう方とゆっくり豊かな
老後を楽しみたい方では、
同じインプラントでも、
目的が異なります。
患者さんにとっての、
「いちばんの治療」とは何なのか?
私たちは、そのことをとことん追求して、
ご提供いたします。
広島県福山市の歯医者「よしだ歯科」は虫歯や歯周病などの一般歯科に加えて、インプラント治療や矯正治療などの専門治療にも対応しております。治療精度を向上させるために、マイクロスコープをはじめとする精密機器を使用しています。院内には個室の診療室があるため、プライバシーに配慮した環境で治療を受けられます。無料駐車場も完備しているため、お車での来院も歓迎です。
歯周病
PERIO
その場限りの治療ではなく、原因を見極めた完全オーダーメイドで治療。


インプラント
IMPLANT
CTやマイクロスコープなどの精密機器を必ず使用。


審美セラミック
ESTHETIC
可能な限り歯の神経を残す治療を実施。


ホワイトニング
WHITENING
患者さんの理想の歯の色を追求。


ボロボロの歯の治療
FULL MOUTH
包括的な治療で、審美性と機能性を回復


広島県福山市南蔵王町で平日9時から夜18時まで診療している歯医者「よしだ歯科」ではエクストリュージョンやエムドゲイン/リグロスによる抜歯を回避した治療を行っています。また、ラバーダムやニッケルチタンファイルを使用した歯の根の治療や診断用義歯を活用した入れ歯治療も患者さんから支持されています。
CONSULTATION
初診相談/セカンドオピニオン
大人からお子さん、ご高齢の方まで、
幅広い世代のお口の健康をサポートします
虫歯や歯周病治療だけではなく
インプラントや審美セラミック治療にも
対応しています。
お口の悩み、不安をお持ちの方
まずはお気軽にご相談ください。

FAQ
ご希望の時間に空きがある場合、当日でもご予約いただけます。
当院には個室の診療室がございますのでご安心ください。
保険治療・自費治療の両方に対応しています。ご希望に合わせて最適な治療をご提案します。




