歯の「色」と「形」で
お顔の印象を変えられます
- 短期間で白い歯が入る「ダイレクトボンディング」
- 「マイクロスコープ」による精密治療
- 歯の神経を守る治療
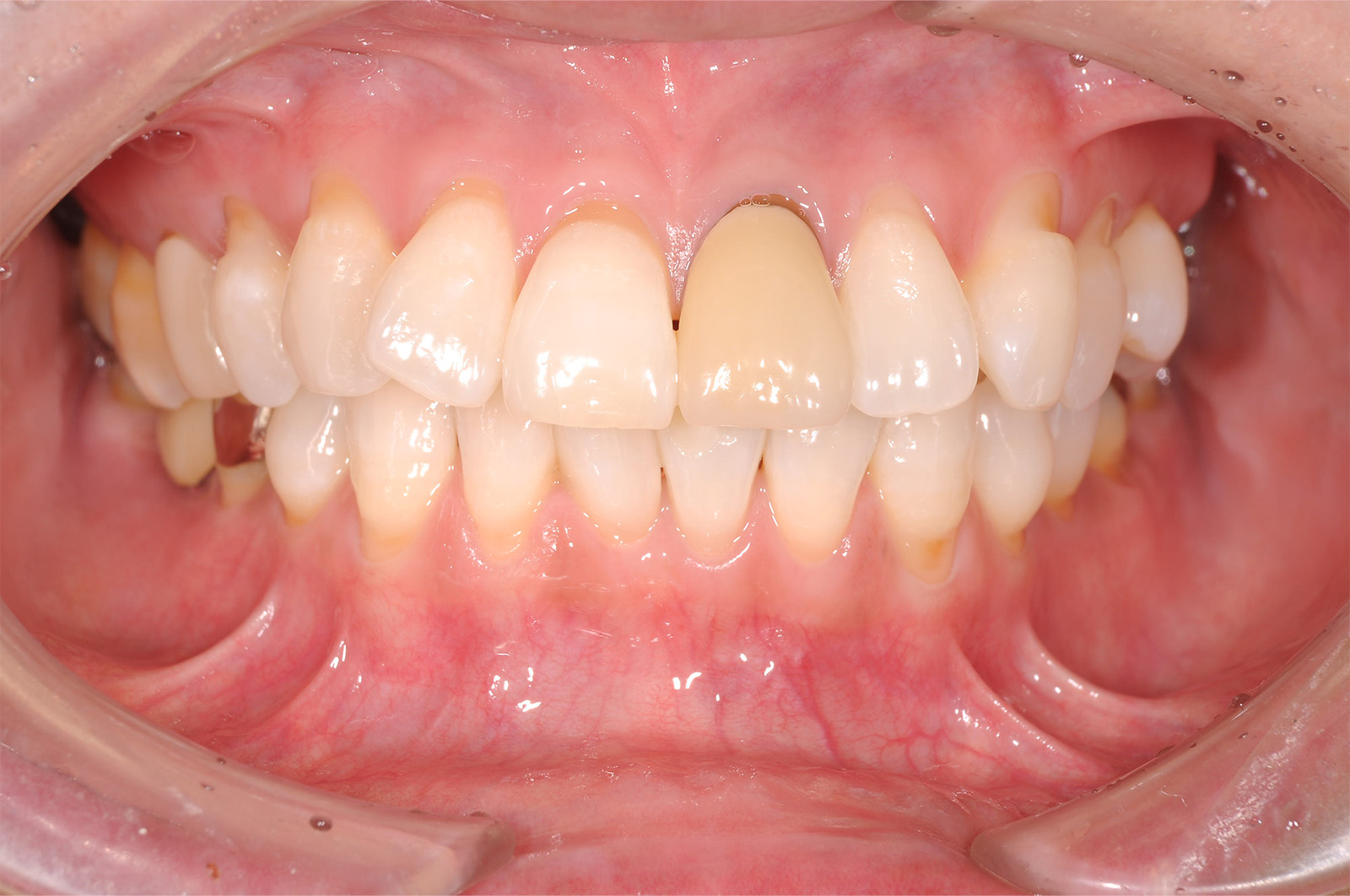
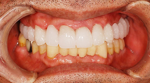
当院が考える「審美治療」
審美治療の目的は、見た目の美しさを整えることにあります。
しかし、歯は見た目だけでなく、しっかり噛めることも同じくらい大切です。当院のセラミック治療では、「美しさ」と「機能性」の両方を兼ね備えた歯を目指しています。
その特徴について、以下で詳しくご紹介します。
身体に優しく、美しさを追求した歯科素材
歯の治療では、詰め物や被せ物などの人工歯を装着しますが、使用する素材によっては金属アレルギーなどの問題が発生することがあります。
当院では、患者さんの健康リスクを軽減しながら美しさも兼ね備えた歯科素材を用いています。ここでは、当院で採用しているセラミック素材についてご紹介します。
ジルコニアの特徴と利点
「ジルコニア」は、見た目が美しく、強度が高いことで「人工ダイヤモンド」とも称されるセラミック素材です。この素材は完全に陶器でできており、体に優しいことが特長です。保険治療の銀歯とは異なり、金属イオンが溶け出す心配はありません。
また、非常に高い耐久性を備えているため、特に食いしばる力が強い患者さんにはおすすめの選択肢です。
オールセラミック治療
「オールセラミック」は、天然の歯に近い色調と十分な強度を持ち合わせた、体に優しいセラミック素材です。この素材はジルコニアほどの耐久性はないものの、噛み合わせの力がそれほど強くかからない前歯に適しています。
コラム「ダイレクトボンディング」なら短期間で治療完了
「ダイレクトボンディング」は、歯の詰め物に「コンポジットレジン」という樹脂とセラミックを配合した材料を使用する治療法です。この素材は硬化が早いため、治療時間を短縮できます。また、自然な歯の色に近い美しい仕上がりも特長です。
以下のような方々には、「ダイレクトボンディング」が特におすすめです。
✅ 欠けた歯を低価格で手軽に修復したい方
✅ 小さな虫歯を早く治療したい方
✅ 気になる銀歯を白い詰め物に交換したい方
この治療の大きな利点は、一度の来院で治療が完了する可能性が高いことです。ただし、大きな被せ物が必要な場合には適用できないこともあります。詳しくは当院までお気軽にお問い合わせください。
マイクロスコープを活用した精密治療
被せ物の治療では、歯と補綴物(ほてつぶつ)の間にわずかな隙間が生じることがあります。この小さなズレが虫歯の再発や被せ物の脱落に影響するため、精密な適合が重要です。
当院では、治療の精度を高めるためにマイクロスコープを使用しています。この機器で治療部位を拡大して確認することで、視野が肉眼の数倍から十数倍にまで広がります。これにより、歯と被せ物の境目や形状の微細な凹凸まで詳細に観察できるようになります。その結果、削る量や調整箇所を細かく見極めながら、天然歯にぴったり合う被せ物を装着できます。
患者さんには安心して治療を受けていただけるよう、常に細心の注意を払っています。
歯科技工のプロフェッショナルとの連携
セラミック製の詰め物や被せ物は、専門の歯科技工士が一つひとつ丁寧に作製しています。当院では、美しい仕上がりで信頼できる歯科技工所に製作を依頼しています。
この歯科技工所と密に連携し、審美性と精度を兼ね備えた技工物の提供に尽力しています。
患者さんと理想のイメージを共有
患者さんが目指す美しさの実現には、治療の各段階で患者さんと私たちとの間でイメージのすり合わせをしっかり行うことが肝心です。
治療前カウンセリングの流れ
当院では治療を始める前に、患者さんの理想とする歯のイメージを詳細にお伺いします。具体的なイメージを共有するために、歯の色のサンプルや模型を活用します。
これにより、治療の方向性を明確に定めることができ、患者さんの希望に沿った結果を目指します。
模型を活用した治療プロセスのイメージ共有
患者さんの歯形を取り、模型を作製します。この模型を使って、歯の形や配置の具体的なイメージを確認できます。さらに、仮歯を作成し、実際のお口に合わせて調整を行います。
この工程により、最終的な仕上がりを事前に把握することができ、治療に対する安心感と納得感を高めます。
審美セラミック治療で神経を守る
審美セラミック治療ではセラミックの被せ物を装着するために、元の歯を削る必要があります。その際、多くの場合は大きく削らなければならないため、「抜髄(ばつずい)」と呼ばれる歯の神経を取る処置が行われます。
しかし、歯の健康を考慮すると、安易に神経を取ることは避けたいものです。神経を失った歯は栄養を受け取れなくなり、時間とともに弱くなります。
当院では審美セラミック治療の際も、できる限り患者さんの神経を残す治療に努めています。なお、症例によっては神経を残せない場合もありますので、その点は事前にご理解ください。
適切な噛み合わせを目指す治療
セラミック治療では、見た目の美しさだけでなく、正確な噛み合わせも非常に重要です。顎関節症などのトラブルを未然に防ぐため、当院では仮歯(プロビジョナルレストレーション)を用いて噛み合わせを丁寧にチェックしています。
まず、患者さん個々の模型から仮歯を製作し、実際に装着してもらいます。この際、見た目の美しさのほかに、以下の点についても確認します。
- 噛み合わせに違和感がないか
- きちんと噛めるのか
- 耐久性が十分あるか
特に噛み合わせに関しては慎重にチェックし、必要があれば何度でも調整を行います。患者さんが納得されるまで調整を重ね、最終的な被せ物を仮歯を基に作成します。
客観的な「美」を追求する
当院では、患者さんが求める理想の美しさを実現することを重視しています。患者さん自身の主観に基づく「美しさ」を尊重しながら、専門的な視点からの「客観的な美しさ」を組み合わせたセラミック治療を提供しています。
以下の4つのポイントに基づき、「客観的な美しさ」を追求しています。
Point①唇と歯の調和の重要性
笑顔を作る際、下唇と歯並びのアーチが一致すると、口元の美しさがより引き立ちます。この調和が取れることで、さらに魅力的な印象を与えることができます。
参考:山崎長郎著『エステティック クラシフィケーションズ』(クインテッセンス出版)
Point②ゴールデンプロポーションの活用
前歯を配列する際に、「中切歯(1.618)」、「側切歯(1)」、「犬歯(0.618)」というゴールデンプロポーションを取り入れることで、審美性が大幅に向上します。
参考:山崎長郎著『エステティック クラシフィケーションズ』(クインテッセンス出版)
Point③正中線と歯並びの調和
正中線とは顔の中心を示すラインです。このライン上に前歯の中心を合わせることで、全体的にバランスの取れた印象を与えることができます。
Point④生物学的幅径
口元の美しさを考えるとき、「歯茎」の印象も非常に重要です。
「生物学的幅径」とは、歯と歯茎の付着面の幅のことで、これが適切に保たれないと、歯の健康に悪影響を及ぼします。当院では、被せ物を製作する際に、歯茎との生物学的幅径を意識して、適合性を重視しています。
患者さんが安心して治療を受けられるよう、細部まで配慮しています。
コラム「口元全体」の美しさを追求
当院の審美治療は、単に歯の色や形を整えるだけではなく、口元全体の美しさを追求して行っています。例えばですが、せっかく歯の形を整えて色も白くしても、口元にシワがあるとどうでしょう。あまり綺麗とは言えませんよね。
当院では、セラミック治療に加えて下記の治療も行っています。歯だけではなく、口元全体の美しさを追求したい方は、お気軽にご相談ください。
ヒアルロン酸療法
ヒアルロン酸療法は、ほうれい線や唇のボリュームを整え、若々しい印象をつくります。唇の輪郭形成や口角のリフトアップに効果的です。
ボツリヌストキシン療法
ボツリヌストキシン療法は、歯ぎしり改善に効果的です。また、エラの張りを抑えてフェイスラインを整える効果も期待できます。咬筋に注射することで噛む力を適度に弱め、歯や顎への負担を軽減します。
初診「個別」相談へのご案内
当院では、患者さんが抱えていらっしゃるお口のお悩みや疑問・不安などにお応えする機会を設けております。どんなことでも構いませんので、私たちにお話ししていただけたらと思います。
ご興味がある方は下記からお問い合わせください。

〒721-0973
広島県福山市南蔵王町
2丁目10-18