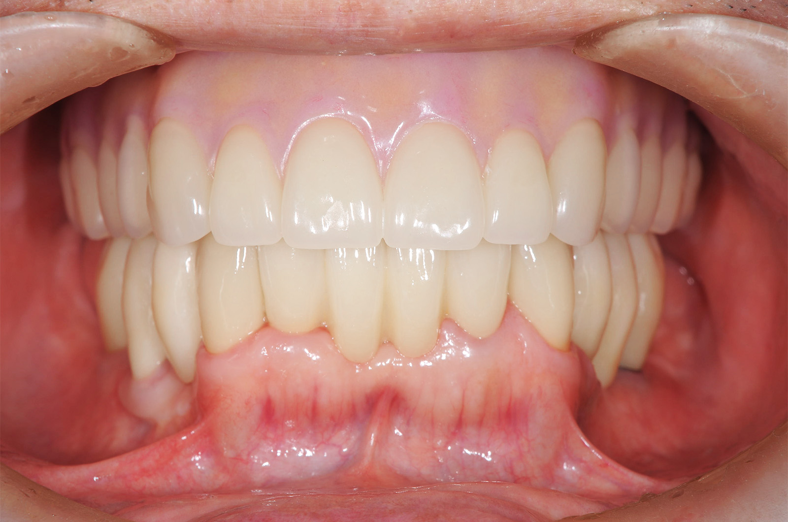
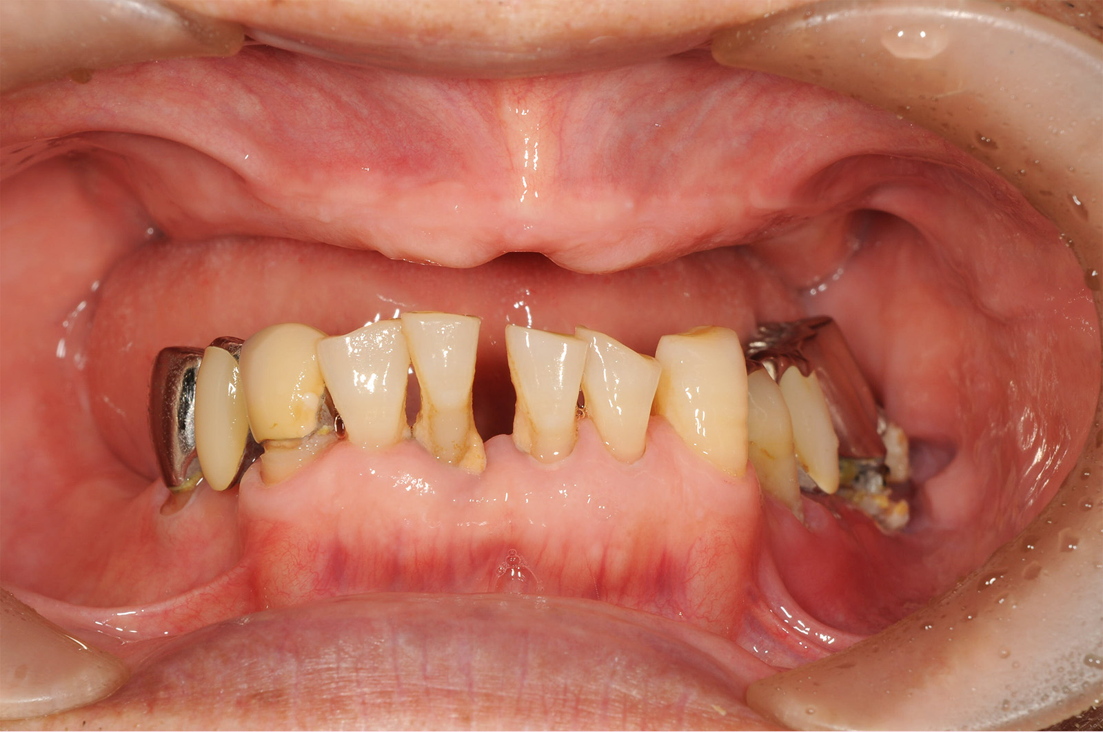
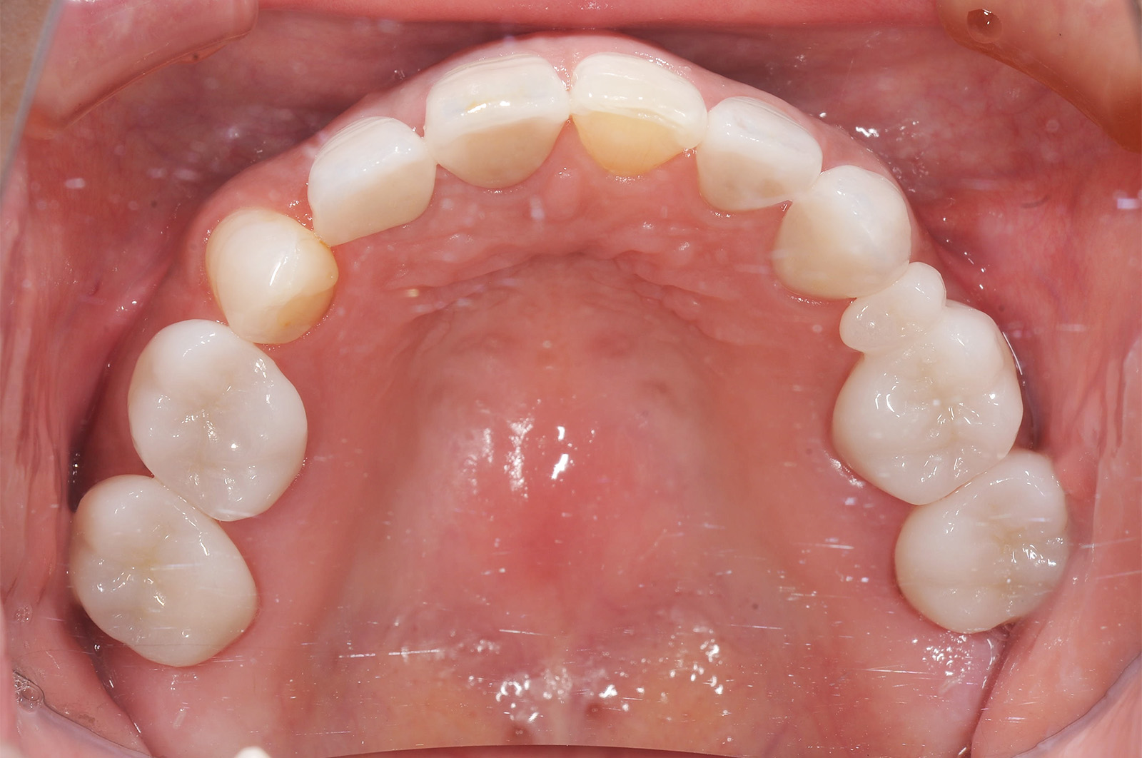
ボロボロの歯でも
ここまで綺麗になれます
次のようなことでお困りの方は、ぜひ当院へお越しください。
- 歯科医院にとトラウマがある
- お口の中を見られたくない
- 歯科治療の痛みがつらい
- 希望しない治療を受けたくない
「痛い」「怖い」「不信感」といった歯医者のイメージを払拭
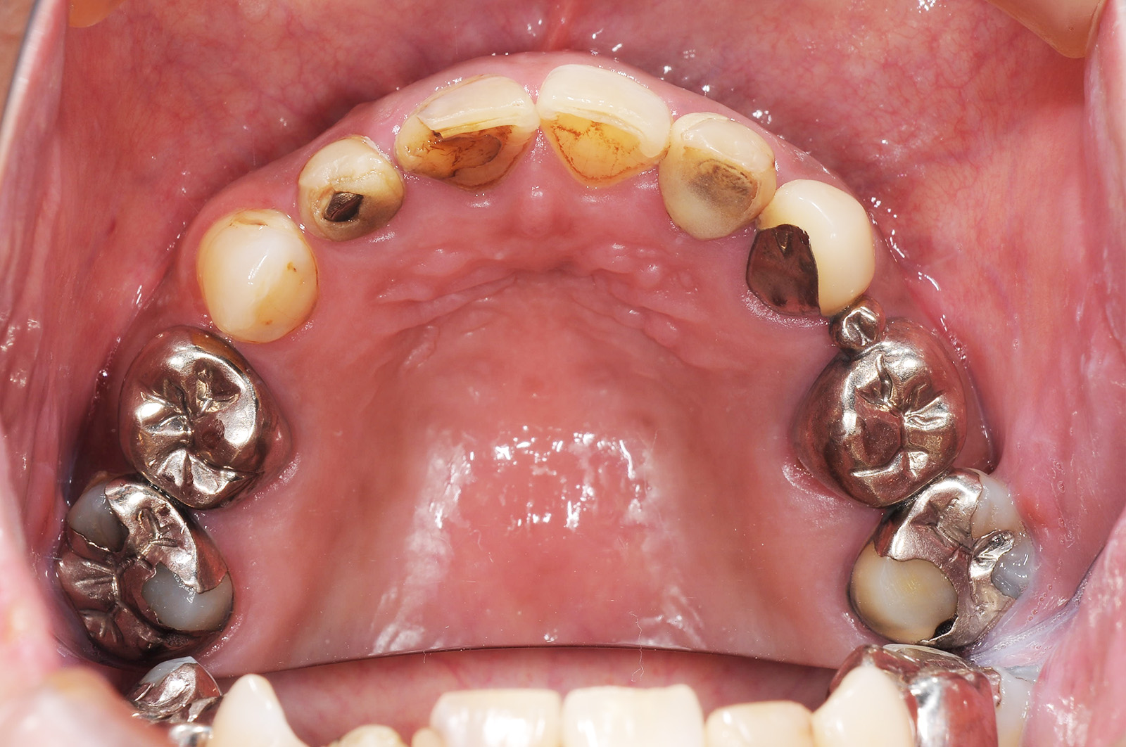
歯がボロボロになっている患者さんには、さまざまな理由があります。中には虫歯や歯周病にかかりやすい体質の方もいらっしゃいますが、多くの場合、過去のトラウマが原因で歯科医院に通うことが苦手になっています。
以下のような経験をされたことはありませんか?
- 治療中の独特な「痛み」がつらかった
- 歯科医師が一方的で「自分の声」に耳を傾けてもらえなかった
- 「治療の方針」がよく理解できないまま進められてしまった
- 「必要のない処置」を受けた気がする
これらの問題は、歯科医院の心がけ次第で改善されます。つまり、患者さんが歯科医院に通えなかったことについて非はありません。
当院では患者さんが安心して治療を受けていただけるよう、以下の取り組みを徹底しています。
- 治療中の痛みをできる限り抑える工夫
- 十分な説明で疑問や不安を解消
- プライバシーを守るための万全な配慮
- 高度な精密機器をそろえた環境
以下、詳しくご紹介します。
「痛くない」「怖くない」治療を目指す
歯科治療には「痛い」「不快」「怖い」といったイメージがつきものです。当院ではさまざまな方法を用いて、患者さんの痛みや不快感、恐怖心をできる限り軽減しています。
取り組み①表面麻酔
注射を行う前に麻酔液を患部にしみ込ませることで、注射時の痛みを軽減します。
取り組み②極細の針
注射時の痛み軽減には、注射針の太さが重要です。当院では、医療機関向けに販売されている中でも最も細い注射針を使用しています。これにより、患者さんが注射時に感じる痛みを最大限に抑えることができます。
取り組み③痛みを感じにくい部位に注射する
お口の中には、痛みを感じやすい場所と感じにくい場所があります。当院では、この特性を生かし、まずは痛みを感じにくい部分から麻酔を施します。麻酔が効いてきたことを確認した後、徐々に痛みを感じやすい部位へと注射を進めています。この段階的なアプローチにより、注射による痛みをほぼ感じさせずに治療を開始できます。
コラム歯の治療時の不快感を和らげる「5倍速コントラ」
多くの歯科医院では、歯を削る際に「タービン」というドリルを使用します。このタービンから発せられる「キュイ〜ン」という音や振動を、不快に感じる患者さんは少なくありません。
当院では、患者さんの不快感を軽減するために「5倍速コントラ」という機器を導入しています。5倍速コントラは、タービンと比べて音や振動が最小限に抑えられ、より快適な治療を提供できます。
患者さんが納得できる治療選びを大切にしています
当院では、治療方針の決定は患者さんの意思を尊重することを大切にしています。歯科医師として専門的な視点から最適な治療法をご提案いたしますが、実際の選択は患者さんにお任せします。
治療法は一つに限らず、特に、患者さんそれぞれの年代やライフステージに合わせて、将来を見据えた治療計画をご提案いたします。
いずれの方法も、その必要性と効果をご説明し、内容をしっかりご理解いただいたうえで進めていきます。
わからないこと、不安に思うことがあれば、どんな小さなことでも遠慮なくご質問ください。ご納得いただけるまで、丁寧にお答えいたします。
安心!個室診療でプライバシーを守ります
当院では個室の診療室をご用意しています。これにより、周囲の目を気にせず、リラックスした空間で治療を受けられます。治療内容やご相談事項が他の方に聞かれる心配がないため、患者さんが安心してお話しいただける環境を提供しています。
最先端の精密機器でサポートする治療
質の高い治療を実現するためには、歯科医師の高度な技術が不可欠です。
しかし、人間の手だけでは限界があります。その限界を越えるために役立つのが精密機器です。これらの機器を使用することで、病気の早期発見や再発リスクの軽減が期待できます。
当院が導入している精密機器の一部をご紹介します。
CTによる立体的な画像診断
「CT」は歯を立体的に撮影可能な画像診断装置です。従来のレントゲンでは難しかった骨の厚さや内部の状態、神経や血管の位置も詳細に映像化できます。
マイクロスコープで細部まで確認
当院では、「マイクロスコープ」を使用して治療を行っています。これは歯科用の顕微鏡で、患部を数十倍まで拡大することができるため、肉眼で見るよりもはるかに精密な診断と治療が可能です。この技術により、患者さんへの治療の質が向上し、より細やかなケアを提供できます。
「ボロボロの歯」でお悩みの患者さんへ
歯の問題は単にお口の中だけにとどまらず、健康全体に影響を与えます。
例えば、歯がボロボロになってしまった場合、多くの方は噛み合わせの悪さから「頭痛」や「肩こり」、「腰痛」を感じることがあります。また、最悪のケースでは次のような重い症状を引き起こしかねません。
精神的な影響も見逃せません。
歯の状態を気にするあまり、人前で話すことを避けていませんか? さらに、「食事が楽しくない」や「思い切り笑えない」といった状況が続くと、抑うつ状態になる可能性もあります。
だからこそ、お伝えしたいことがあります。ボロボロの歯でも、適切な治療を受ければ、美しい歯を取り戻せます。一人で悩まず、当院にご相談ください。当院では無理に治療を勧めることはありません。医院の雰囲気を知りたいという理由だけでも構いませんので、ぜひ一度お越しください。
初診「個別」相談へのご案内
当院では、患者さんが抱えていらっしゃるお口のお悩みや疑問・不安などにお応えする機会を設けております。どんなことでも構いませんので、私たちにお話ししていただけたらと思います。
ご興味がある方は下記からお問い合わせください。

〒721-0973
広島県福山市南蔵王町
2丁目10-18