安心で迅速な抜歯を目指して
「親知らずが痛いけど、抜くのは怖い」「埋まってるって言われて、不安になった」そんな声をよく耳にします。
当院では経験豊富な歯科医師が痛みを最小限に抑えつつ、短時間で安全に抜歯を行います。親知らずが気になる方は、どうぞ安心してご相談ください。
※症例によっては大学病院や口腔外科への紹介を行うこともあります。
親知らずは抜歯すべき? 残すべき?
親知らずを抜くべきかどうかの判断は、その生え方によって大きく左右されます。斜めに生えていたり、正しい方向に伸びていない親知らずは、周囲の歯に悪影響を及ぼしたり、清掃が不十分になって虫歯を招きやすいため、抜歯をおすすめすることが多いです。
一方で、以下のようなケースでは抜歯が必ずしも必要とは限りません。
●まっすぐに生えており、正常に噛み合っている場合
●完全に骨や歯ぐきに埋まっていて問題を起こしていない場合
また、将来ほかの歯を失ったときに、親知らずを移植に利用できる可能性もあります。そのため、抜歯にはリスクが伴うことを踏まえ、当院では無理に処置を勧めることはありません。
「できれば抜きたくない」「残したほうが良いのか悩んでいる」といった方は、どうぞお気軽にご相談ください。当院ではセカンドオピニオンも受け付けており、患者さんのご希望を尊重しながら、専門的な立場から最適なアドバイスとサポートをいたします。
親知らずの抜歯によるメリットとデメリット
メリット
デメリット
- 術後に痛みや腫れが生じることがある
- まれに舌や唇に麻痺が残る可能性がある
親知らずを抜歯するデメリットとして挙げられるものは、通常、術後1週間ほどで落ち着くことが一般的です。
しかし、親知らずを抜かずに放置した場合の潜在的な問題は、より深刻になることが多いと考えられます。
もちろん、すべてのケースで抜歯が必要なわけではありません。そのため、まずは歯科医師としっかり相談し、ご自身の状態に合った最適な判断を行うようにしましょう。
当院の親知らず治療が患者さんに好評な理由
親知らず治療は、「どこでやっても同じ」というわけではありません。治療には技術と経験が求められるだけでなく、患者さんの負担や術後のリスクを最小限に抑えるための設備も非常に重要です。
「CT」を使用して精密に診断
「CT」とは、コンピューターによる画像処理で断面を組み合わせ、立体的に表示できる医療機器です。これにより血管や神経の位置だけでなく、親知らずが埋まっている場所まで正確に確認でき、必要最小限の切開で処置を行うことが可能になります。
親知らずは生え方によって、比較的容易に処置できる場合もあれば、慎重な対応が求められる場合もあります。特に
血管や神経に近接しているケースでは、損傷のリスクがあるため、事前の精密な検査が欠かせません。
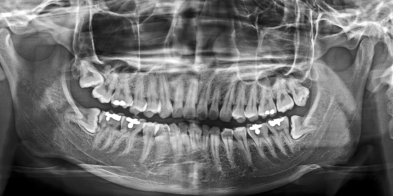
パノラマレントゲンの活用
パノラマレントゲンは、お口全体を1枚の画像として撮影できる広範囲のレントゲン写真です。これにより、親知らずの位置や向き、そして周囲の歯との関係がひと目でわかります。
特に下あごの親知らずは、下歯槽神経という大事な神経の近くにあることが多いため、抜歯時の神経損傷リスクを回避することが非常に重要です。パノラマ撮影を行うことで、神経との距離や重なり具合を正確に確認することができます。
テルプラグの役割と効果
テルプラグは、コラーゲンを主成分とするスポンジ素材で、抜歯後の穴(抜歯窩)に優しく詰めることによって傷の治癒を手助けします。
このテルプラグを使用することで、血液がしっかり留まりやすくなり、自然な治癒が促されます。抜歯後の痛みや出血も抑える効果があります。
妊娠前に親知らずの治療を考えましょう
妊娠中は、ホルモンバランスの変化により虫歯や歯周病になりやすくなります。このため、親知らずの周辺で歯茎が腫れたり、急に痛み出したりすることがあります。
しかし、妊娠中に親知らずを抜くことは簡単ではありません。レントゲン撮影や麻酔、また内服薬の使用には、お腹の赤ちゃんへのリスクを考慮して制限がかかることがあるからです。そのため、妊娠前に親知らずを抜いておくことをおすすめします。これにより、妊娠中に困ることなく安心して過ごせます。
親知らずに関するQ&A
親知らずに関する疑問を解決します。当院では、親知らずの抜歯やその後のケアについて、患者さんに安心して治療を受けていただけるよう丁寧に説明しています。以下によくある質問とその回答をまとめましたので、ご参考ください。
- 親知らずとは何ですか?
- 親知らずは、第三大臼歯として知られ、一般的に10代後半から20代前半に生えてきます。口の中で最後に生える永久歯です。親知らずが正常に生えない場合、痛みや感染症を引き起こすことがあります。
- 親知らずを抜く必要があるのはどんな時ですか?
- 親知らずが斜めに生えたり、部分的にしか出ていない場合、隣接する歯に圧力をかけることがあります。また、炎症や腫れを引き起こす恐れもあるため、抜歯を検討するケースが多いです。歯科医師がレントゲン検査などを通じて判断し、適切な処置を行います。
- 親知らずを抜いた後のケアはどうすればいいですか?
- 抜歯後は、安静にして血液の循環を促すために数時間は頭を高く保つようにしてください。食事は柔らかいものを選び、刺激物やアルコールは避けてください。また、口を強くすすがないよう注意しましょう。定期的な歯科チェックアップも重要です。
- 片方の親知らずを抜いた後、もう片方も抜くべきか
- これは個々のケースによりますが、片方の親知らずが痛み出した場合、もう片方も状態が悪化している可能性があります。両方の親知らずを抜くべきかどうかは、歯科医師と十分に相談しながら決めていくことが重要です。
- 親知らずが原因で歯並びが悪くなることはありますか?
- 親知らずが横や斜めに生えている場合、歯並びに影響を及ぼす可能性があります。
- すべての親知らずを抜歯できますか?
- 当院では豊富な経験と実績をもとに、ほとんどの親知らずの症例に対応しています。ただし、糖尿病や心臓病がある患者さん、または血管や神経を傷つけるリスクが高い場合には、安全性を重視し大学病院への紹介を行うこともございます。
当院では、患者さん一人ひとりに合った最適な治療計画を立て、親知らずに関する不安や疑問にお答えしていますので、お気軽にご相談ください。
初診「個別」相談へのご案内
当院では、患者さんが抱えていらっしゃるお口のお悩みや疑問・不安などにお応えする機会を設けております。どんなことでも構いませんので、私たちにお話ししていただけたらと思います。
ご興味がある方は下記からお問い合わせください。

〒721-0973
広島県福山市南蔵王町
2丁目10-18